版权归原作者所有,如有侵权,请联系我们

挑战生命禁区,湖南医生通过显微手术脑中取瘤

三湘名医在线
给公众提供权威的健康知识、可靠的健康资讯。
收藏

松果体区脑瘤位于大脑深部,毗邻重要血管神经结构,手术风险极高。该区域手术死亡率超过50%。


今日,记者从湖南省肿瘤医院了解到,该院医生凭借高超的显微手术从患者脑中取瘤,恢复了患者的健康。


3年前,郴州的唐女士出现头痛、头昏等症状,间歇性发作,活动后明显,患者起初不以为然,没有去做特殊诊治。


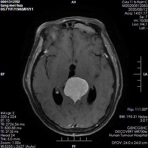
今年8月初,唐女士头痛、头昏加重,并频繁呕吐,一天可达7次,呕吐物为胃内容物,偶有胆汁,持续未见好转并日渐严重。当地医院检查发现,患者颅内松果体区占位长了一个乒乓球大小的肿瘤。


挑战生命禁区,湖南医生通过显微手术脑中取瘤

患者颅内松果体区占位长了一个乒乓球大小的肿瘤。医院 供图


家属连忙带着唐女士来到湖南省肿瘤医院神经外科求助。该科主任何正文教授认真研究患者各项检查资料,精心设计手术方案。


为确保患者的安全,手术前由该院医务部组织麻醉科、手术室、ICU、输血科、检验科、护理部等科室进行了详细讨论,对手术中及手术后可能出现的各种情况及预防处理预案,制定了周密的方案。


术前工作准备充足完毕后,由神经外科主任何正文博士主刀,在任年军主任医师、蔡暤副主任医师等专家的协助下,按照手术设计方案,顺利完成手术,神经功能保护完好。唐女士手术后两小时即清醒,没有任何并发症。


记者了解到,松果体区肿瘤想要切除难度非常大,该区域的脑组织结构异常复杂,肿瘤所处的位置更是“刁钻”,在国内手术是治疗松果体区肿瘤的首要难点。在20世纪初,国外松果体区肿瘤的手术死亡率为90%,这样高的死亡率让很多医生望而生畏。


湖南省肿瘤医院神经外科主任何正文教授提醒市民,恶性的松果体区肿瘤病情进展非常迅猛。


但不管是什么类型的松果体区肿瘤都有可能因为肿瘤阻断了脑脊液的流动导致脑积水而引起一系列的症状,若是频频出现头痛、癫痫、恶心、呕吐、听力问题、视力问题等,都必须及时到正规医院就诊。


内容来自:掌上长沙