版权归原作者所有,如有侵权,请联系我们

男子不明原因剧烈腹痛20年,辗转多家医院发现“真凶”是全世界仅几十例的罕见病,手术是他最后的救命稻草

医师报
中国医师协会唯一报纸,关注医生、聚焦医事。
收藏

近日,在江苏省人民医院普外科孙跃明教授团队的精心治疗下,饱受罕见疾病“结肠气囊症”困扰20年,并因疾病产生严重腹膜炎导致生命危在旦夕的吴先生终于康复出院了。



不明原因的剧烈腹痛,折磨了吴先生20年

谈起自己被疾病折磨和救治的经历,今年38岁的吴先生记忆尤深。他告诉记者第一次发病是在18岁,大约是2001年高考结束后,他和同学出去吃饭,回家后就开始剧烈腹痛,疼的直打滚,当时医生判断是急性胰腺炎。手术前夕,北京的专家前来会诊后表示不是急性胰腺炎,住院2周挂了抗生素以后,腹痛消失了。


此后每两到三年,特别是春节前后,冬春交替时,吴先生的病情就会发作,每次发作都是以腹痛症状为主,但是住院挂水治疗后,症状就缓解了。一开始吴先生以为是自己吃坏了肚子,所以吃饭的时候特别仔细,鱼虾等海鲜类食物不吃,水果等生冷食物也不吃。2008年春节前夕,吴先生再次餐后出现了剧烈的腹痛,经当地医院检查表示只能剖腹探查,手术中医生表示腹腔内除了有少量粘连外,并没有特殊异常,这次手术医生也将其阑尾切除了。术后通过引流腹腔积液,吴先生的病也逐渐好转了。


但是没过3个月,吴先生再次出现了剧烈腹痛,这次检查中,医生发现吴先生的右腹部大网膜超声显示有一朵“云”一样的阴影,疑似是“蜂窝组织炎”。就在吴先生再次准备手术前夕,“云朵”消失了。随后吴先生发现,每次剧烈腹痛的时候就到医院挂左氧氟沙星类的消炎药物能够缓解炎症。



辗转多家医院发现真凶竟是罕见“结肠气囊症”

2014年,再次出现剧烈腹痛的吴先生在家人的陪同下来到上海就医。用吴先生自己的话说,这个病已经把他折磨的痛不欲生,所以在上海的医院里,把胃镜、肠镜、胶囊镜等等所有能做的检查全做了,最后医院得出结论,吴先生的病是一种非常罕见的“结肠气囊症”。由于患病人数极少,甚至没有明确的发病率。


虽然确诊了,但是依然没有明确的治疗方法,在上海的治疗并没有很好的缓解病情发展,这也让吴先生和家人非常烦恼。此后吴先生的发病次数越来越频繁,且每次发作时,腹膜炎的症状也越来越严重,且由于大剂量使用抗生素治疗后,吴先生还出现了耐药情况。

男子不明原因剧烈腹痛20年,辗转多家医院发现“真凶”是全世界仅几十例的罕见病,手术是他最后的救命稻草

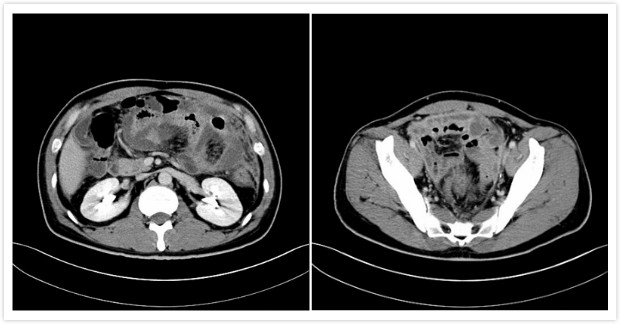
患者术前病例CT图片


由于疾病的影响,身高183厘米的吴先生,体重也从原先的197斤降低到手术前的140斤左右,且由于疾病反复发作,工作受阻收入减少,加上这些年累计就医花费大约有百万之多,对于吴先生这样的普通家庭来说经济负担非常大。


2020年7月下旬,吴先生再次出现腹痛不适,在当地医院保守治疗后症状越来越重,疼痛剧烈,且连续数天高烧39度,人也进入感染性休克状态,生命危在旦夕。家人十分着急,用120救护车带着吴先生从当地转到江苏省人民医院(南京医科大学第一附属医院)结直肠外科,并找到结直肠外科主任孙跃明教授求救。


男子不明原因剧烈腹痛20年,辗转多家医院发现“真凶”是全世界仅几十例的罕见病,手术是他最后的救命稻草

孙跃明教授(资料图)



太罕见!全世界仅有几十例,手术治疗成了最后的救命稻草

了解了吴先生的病史,并查看了他的情况后,孙跃明教授立即将吴先生收治入院,并为吴先生进行了全面的体格检查、血液学检查、影像学检查。结合吴先生所患的是非常罕见的“结肠气囊症”,孙跃明教授还组织了院内多个科室专家为其进行了MDT讨论。


孙跃明教授告诉记者,吴先生所患的“结肠气囊症”又称结肠气囊肿或囊样肠积气,是一种罕见疾病,其特点为在结肠的黏膜下或浆膜下出现多发的含气性囊肿,大多发生在横结肠脾曲以下结肠,以乙状结肠多见,可多发。由于该病发病率极低,目前世界范围内也仅有几十例这样的病例报道,病因及发病机制不明确,临床表现缺乏特异性,诊断十分困难,治疗方案也不甚统一。


但是根据吴先生这样病史多年、严重影响其生活质量的病情而言,孙跃明教授及MDT团队的众位专家一致认为手术是救治吴先生的最佳治疗方案,但是手术对于吴先生而言也是风险巨大的,一方面吴先生病史很长且反复发作腹膜炎,腹腔内的情况不可知。另一方面吴先生曾经做过一次手术,腹腔内会有严重粘连,手术难度非常大。


男子不明原因剧烈腹痛20年,辗转多家医院发现“真凶”是全世界仅几十例的罕见病,手术是他最后的救命稻草

孙跃明教授手术中



尽管手术风险较大,但是为了挽救吴先生年轻的生命,孙跃明教授还是决定帮助吴先生开展手术治疗。8月10日吴先生被推进了手术室,手术时孙跃明教授发现吴先生的腹腔内正如术前预测一样,腹腔内重度粘连,呈“腹茧征”样表现,小肠、大肠、肠系膜、网膜与腹壁间完全失去正常解剖层次,分离非常困难,随时有损伤肠管的可能。


经过一个多小时的细致分离后,探查发现吴先生的全结肠肠壁显著增厚,肠管扩张,积气积液明显,表面见多个囊性肿物突出,符合“结肠气囊肿病”诊断,并为其实施了复杂的“全结肠切除术”。手术历经4个小时顺利结束。


术后第二天,吴先生便能下床活动,术后第三天吴先生的肠功能便开始恢复,能进食米粥、面条等半流质饮食,随着全身毒性反应的减轻,吴先生精神、体力、食欲都得到了明显改善。手术两周,吴先生顺利出院。出院前夕,吴先生紧紧握着孙跃明教授的手表示:“今天是我患病后二十年来过的最轻松的一天,感谢孙主任和您团队的医护人员给了我第二次生命,让我走出“结肠气囊症”的疾病阴影,更让我对未来重新燃起了希望。”


内容来自:医师报