猫咪避之不及的寄生虫,有望被科学家改造成医学武器

科普中国
公众科普,科学传播。
收藏

一说起弓形虫,我们往往会立刻想到猫,因为它们是猫咪身上的常见寄生虫。而孕妇们则对弓形虫高度警惕,因为弓形虫可能危害胎儿健康。不过,最近有科学家发现,弓形虫也许可以作为一种工具,用来治疗大脑的一些病变。

寄生虫为什么能拿来治病呢?让我们先从弓形虫的特点聊起。

什么是弓形虫?

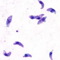
弓形虫,乍一听名字,可能会让人觉得是一种长得像弓的虫子,像条蛔虫或者蚯蚓那样蠕动。其实,弓形虫个头小得多,它是一种单细胞寄生虫,长 3.5~6.5μm,宽 1.5~3.5μm,比起弓,它的形状更像是香蕉。

图片

图1 弓形虫显微图(图片来自wiki)

弓形虫在许多动物身上都有发现,包括猫、鸟类、猪及人类。弓形虫属于机会致病性寄生虫,也就是说,在机体免疫功能正常的情况下,弓形虫感染通常不会表现出临床症状。

弓形虫的生活周期需要两个宿主,中间宿主包括爬虫类、鱼类、昆虫类、鸟类、哺乳类动物和人类,而终宿主则只有猫科动物。

图片

图库版权图片,不授权转载

弓形虫也可以感染人类,可能使人患上“获得性弓形虫病”。成年人感染几乎没有任何症状,但儿童感染弓形虫,有时会引起视力障碍、肺炎、脑炎等症状,因此仍需要注意预防。

一旦孕妇感染弓形虫病,会导致很大危害,因为弓形虫感染胎儿,可能会导致“先天性弓形虫病”,给胎儿留下许多严重的后遗症,如智力障碍、视力障碍、癫痫、精神发育障碍等等。因此,孕妇弓形虫的检查非常必要,如果感染,则需要针对性治疗。

弓形虫能危害人体,其中一个重要原因是因为它能够入侵我们的中枢神经系统,不过正是因为这种特性,目前有科学家正在试图让弓形虫“改邪归正”,派上用场。

弓形虫如何为人类服务?

蛋白质是生物医疗的重要工具,很多药物都是蛋白质。但是,蛋白质属于生物大分子,体积大,能与宿主免疫系统的相互作用,穿透屏障(如血脑屏障)有困难,如何将其有效地递送给目标细胞成为困扰医学界的一大难题。

而弓形虫天生就能够从人体肠道自然进入中枢神经系统,科学家们有了一个大胆的想法——能否通过改造弓形虫把治疗性蛋白质药物递送到大脑中呢?

近期,沙哈尔·布拉查(Shahar Bracha)等人在《自然-微生物》发表研究成果,他们设计了一种新策略,即用弓形虫的两种分泌细胞器-棒状体和致密颗粒来向小鼠的脑细胞递送蛋白质。

他们选择了位于寄生虫细胞器内的蛋白质,将其与已知可治疗人类神经疾病的不同蛋白质融合,而结果表明,这些大分子蛋白质能同时通过这两种细胞器递送到神经元。

图片

图 3 改造弓形虫的分泌系统用于向神经元递送大分子治疗性蛋白质(图片来源:参考文献 3)

作为概念验证,科学家试验了用于治疗雷特综合征(一种影响脑发育的罕见神经障碍)的蛋白质——MeCP2,发现其能被递送到小鼠的神经元,并结合目标 DNA,改变了细胞、神经元和大脑类器官内的宿主基因表达。

同时,目标递送位置外检测到的寄生虫很少,递送后也没有发生明显炎症。科学家称,这些发现可以为治疗性蛋白质递送提供新方法,但仍需进一步研究来理解其有效性和安全性。

图片

图4 3D 图像展示弓形虫(荧光标记)进入小鼠大脑细胞中(图片来源:参考文献 3)

如何预防弓形虫?

虽然猫确实能将弓形虫传染给人,但这绝不意味着我们需要放弃撸猫的乐趣。因为猫不是天生就携带弓形虫的,接触感染了弓形虫的中间宿主,猫才会被感染。

图片

图 2 猫咪(图片来源:作者拍摄)

当猫咪发生感染,弓形虫主要生存在于猫的肠细胞内,也可经由血流进入其他器官,二至四周后虫卵可随着猫粪便排至体外,周围的猫咪接触了携带弓形虫的粪便也会感染。

因此,可以据此采取下面这些预防措施:

① 不让猫咪直接喝未经处理的水,如自来水;

② 避免放任猫咪在外游荡;

③ 建议饲喂成品猫粮,或充分烹饪的自制食物,避免猫咪直接吃生肉或半熟肉;

④ 及时清理更换猫砂。

需要注意的是,一般来说,绝大多数的猫感染了弓形虫也不会出现明显的症状,极少数猫对弓形虫的敏感性差,可能出现中枢神经系统、视觉、呼吸、胃肠系统等相关症状,例如:发热、呼吸急促、咳嗽等。

如果出现这些症状,可在宠物医院通过“粪便虫卵检测”和“血清抗体检测”综合判断猫是否感染了弓形虫。如果确认自己的猫咪感染了弓形虫,可以尝试给猫服用克林霉素或磺胺类等抗生素,或可咨询专业的宠物医生,进行针对性的治疗。

参考文献

[1]闻良珍 等. 妊娠期妇女弓形体感染对胎婴儿生长发育的影响. 中华妇产科杂志, 2003, 38(6): 331-333.

[2]王勤英 等. 传染病学, 中国医药科技出版社, 2016年.

[3]Shahar Bracha et al. Engineering Toxoplasma gondii secretion systems for intracellular delivery of multiple large therapeutic proteins to neurons. Nature Microbiology, 2024, 9: 2051–2072.

策划制作

作者丨Denovo团队

审核丨张宇 中国疾病预防控制中心 研究员/博士 国家健康科普专家

策划丨丁崝

责编丨丁崝

审校丨徐来 林林

本文封面图片及文内图片来自版权图库

转载使用可能引发版权纠纷

内容来自:科普中国微信公众号

评论
无为通达
少师级
我想强调的是,‌虽然弓形虫感染对猫咪和人类都可能带来一定的健康风险,‌但我们也不必因此放弃与猫咪的亲密接触。‌通过合理的预防措施和定期的健康检查,‌我们可以有效地降低弓形虫感染的风险。‌同时,‌我们也期待科学家们能够继续深入研究弓形虫的医学应用潜力,‌为人类健康事业做出更大的贡献。‌
2024-09-06
科普青云
贡士级
弓形虫也可以感染人类,可能使人患上“获得性弓形虫病”。尤其儿童需要注意预防。
2024-09-06
内蒙古赵华
少傅级
猫确实能将弓形虫传染给人,但是我们也不要恐慌,家养的猫只有按时驱虫,一般不会发生弓形虫病,因为猫不是天生就携带弓形虫的,接触感染了弓形虫的中间宿主,猫才会被感染。
2024-09-06