版权归原作者所有,如有侵权,请联系我们

这八大口腔不良习惯导致儿童牙畸形,及时纠正很关键

东莞健力口腔医院口腔科普教育基地
科普教育基地注册科普号,来源:2025年科普月
收藏

孩子拥有一口整齐的牙齿

不仅美观,且利于身心健康

然而孩子成长过程中

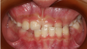
家长却常常看到孩子出现牙列不齐现象

 “地包天”、前牙外突、牙齿拥挤......

牙医表示,造成牙列不齐的原因很多

除了遗传因素,环境因素也很重要

常见且能较好干预的就是口腔不良习惯

今天与大家聊聊

儿童要注意哪些口腔不良习惯?


儿童常见的口腔不良习惯及危害?

对儿童口腔有害的习惯性小动作被称为:儿童的口腔不良习惯。常见:吮指习惯、舌习惯、唇习惯、口呼吸习惯、咬物习惯、偏侧咀嚼习惯,下颌前伸习惯、不良睡眠习惯等。口腔不良习惯能引起口腔多种危害:


01、吮指习惯

危害现象:上前牙前突(暴牙);开展露齿

02、舌习惯,如:吐舌习惯、舔牙习惯、伸舌习惯

危害现象:前牙出现两边小、中间大的梭形间隙;前牙唇侧倾斜,出现牙间隙,下颌前突

03、唇习惯,如咬上唇习惯、咬下唇习惯

危害现象:前牙反𬌗(地包天);上颌前突、开唇露齿

04、口呼吸习惯

危害现象:前牙拥挤或前突

05、咬物习惯(咬铅笔、三角板、衣角、手帕、啃指甲等)

危害现象:牙齿形成局部小开𬌗(上、下牙咬不上)

06、偏侧咀嚼习惯

危害现象:面部两侧发育不对称

07、下颌前伸习惯

危害现象:下颌前突

08、不良睡眠习惯

危害现象:牙颌面畸形

纠正这些不良习惯主要在于说服、教育儿童自我克服。爸爸妈妈、老师要经常提醒孩子改正。不能自行纠正,则要到口腔医疗机构进行全方位检查并戴特制的去除不良习惯的正畸矫治器矫正。


这几种口腔不良习惯,要及时干预纠正

01、怎样纠正吮指习惯?

宝宝从出生后3个月就开始有吮拇指动作,这种活动一般在2岁以后逐渐减少而自行消失。到3岁以后还不消失,就要纠正这种不良习惯。吮指习惯包括吮拇指、吮食指等。

▌纠正方法:

① 引导儿童玩健康游戏,转移儿童的兴趣;

② 在儿童的手指上涂带有不良味道的无毒食品;

③ 给儿童戴上指套或手套来破除吮指习惯;

④ 顽固的吮指习惯戴用附有腭网或腭刺的矫器,挡住手指,使它不能伸进口里。


02、怎样纠正口呼吸习惯

儿童用口呼吸的原因常是鼻咽部有疾病如慢性鼻炎、鼻窦炎、扁桃体炎,造成鼻腔阻塞,影响鼻呼吸,而改用口呼吸。口呼吸可导致上牙弓狭窄,腭盖高拱及上前牙前突,开唇露齿。

▌纠正方法:

① 先检查鼻咽部有无疾病,有病先治疗,使鼻呼吸畅通;

② 戴口罩纠正,口罩晚上戴用,白天则提醒儿童用鼻呼吸;

③ 戴破除口呼吸习惯的正畸矫治器前庭盾,睡觉时戴在前牙与嘴唇之间,堵住呼吸,孩子慢慢就会用鼻孔呼吸了。


03、怎样纠正吐舌习惯?

     有吐舌习惯的儿童常将舌尖伸在上、下牙之间,使前牙出现两边小、中间大的梭形裂隙。

▌纠正方法:

① 说服教育儿童自我克服;

② 戴用舌习惯矫治器,一般采用上颌活动矫治器,并在上前牙部位,弯制4-6条舌挡丝, 使舌不能伸出;

③ 戴用附有腭屏、腭网、腭刺的正畸矫治器。


内容来自:东莞健力口腔医院

评论
科普633c2bb156eb9
进士级
已阅
2023-10-29