连续半个月这么做,35岁的他被确诊为“脑子坏了”!

科普中国
公众科普,科学传播。
收藏

一边熬夜、喝酒,一边害怕看体检报告,说的是不是你?提醒大家千万要注意一个度哈,这不一深圳35岁的设计师因熬夜+喝酒,差点“喝坏”脑子。

35岁的设计师小董平时很少喝酒,但回老家参加婚礼后,一连半个月他都沉浸在酒精的世界里一发不可收拾:4月15日:婚礼当晚鸡尾酒、白酒、啤酒三连击,凌晨3点睡,5点起床接亲,几乎没合眼;

4月16日:继续“赶场”喝洋酒、白酒,再次熬到凌晨;

4月19日:见老同学,白酒啤酒接着喝;

4月23日:白酒+啤酒+KTV嗨到凌晨3点;

4月24日:喝酒后走路摇晃、不慎摔倒,次日双手发抖,仍硬撑继续喝;

4月29日:睡不着,用白酒和鸡尾酒“助眠”,结果一夜无眠……

这么个喝法,是个神仙也得倒,更何况这期间小董还动不动就熬到凌晨,只睡两三个小时。

不出意外的话,就要出意外了。

小董本以为手抖、走路摇晃只是因为喝醉酒,却在回到深圳后加重为意识模糊、口齿不清、记忆力下降和视物模糊,眼睛需要盯住一个地方很久才能看清物体。

图片

入院时的小董手部止不住地抖动

小董的老婆当晚就“提着”他去南科大医院的急诊,医生的建议是住院仔细检查。

可小董听到要住院,“连夜逃走”回了家。回家后的小董又是一夜未眠。

第二天就是五一假期,小董原本打算和家人出去好好玩玩,结果却开始出现幻听:听到有人敲门,耳朵里有杂音,还能听到熟悉的人讲话……

二次送医

确诊为“脑子坏了”

再次来到医院,医生一边听小董描述症状,眉头是越来越紧。

小董被紧急收治入院,并转入神经内科。

“医生,是酒精中毒吗?”想到最近小董疯狂饮酒的生活,小董的老婆问道。

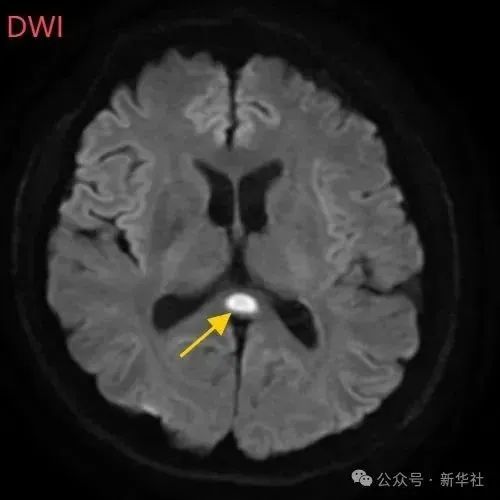
医生摇摇头,经过头部磁共振平扫、弥散、增强影像等检查,医生诊断,小董是得了一种比较少见的病症:可逆性胼胝体压部综合征。

图片

小董的影像结果显示,胼胝体压部发生病变

什么是

“可逆性胼胝体压部综合征”?

如果把大脑比作一座城市,胼胝体就是连接左右脑的“跨海大桥”,而胼胝体压部正是桥上的“核心枢纽”。当它因酒精、熬夜或感染“肿了”,大脑信号就会“堵车”,引发一系列“故障”。

“压部”病变:胼胝体压部是大脑里的“视觉总监”,眼睛所看到的信息传送到大脑后,由它负责反应整合成图像在脑海中呈现。“压部”发生病变后,就像电视机信号接收不良,屏幕出现雪花一样,眼睛视物就会受到影响。

除了“压部”,胼胝体的其他部位也有病变,所以小董才会出现幻听、手抖等症状。

多种手段齐下

强制“重启”大脑

一入院,医生为小董查体,发现其意识模糊,手抖,幻听,视物不清,近期记忆力及计算力下降。

图片

入院时的小董手部止不住地抖动

神经内科主任白春艳根据小董的症状结合自己的经验,快速果断地为小董进行紧急治疗:补充大剂量B族维生素(尤其是B1),抗病毒,改善精神症状及睡眠障碍。

于是,入院后的小董除了吃饭、上厕所外基本都在睡觉。

“为什么第一时间给患者补充大量B族维生素呢,这是为了给胼胝体‘消肿’。”神经内科主任白春艳解释。

普遍认为胼胝体压部病变可能与细胞毒性水肿有关,而水肿的诱因通常是因为大量饮酒后导致维生素B1摄入障碍,辅酶缺乏。

同时因为长时间的熬夜、休息不足,小董的大脑不堪重负,通过镇定剂长时间入睡,可以让他的大脑得到充分休息,相当于强制关机。

多管齐下的治疗让小董很快得到了恢复:

入院4天后,小董的不适感消失,神志完全恢复,讲话正常,没有幻觉和视物不清;

入院5天,丢失的记忆又找了回来(入院时的小董失去了前面几天的记忆)。

“找回记忆”的小董这才想起来,在4月28日的时候自己曾出现过咳嗽、咽喉痛等感冒症状,但只是自服了一点感冒药。

这说明,小董的病症还有可能是病毒感染引起的。但幸好及时进行了抗病毒治疗,否则后果不堪设想。

图片

经过一周治疗,小董的胼胝体压部病变明显好转

目前,小董已基本恢复,手不抖了,走路不晃了,记忆力和计算力也回到患病前的水平。

医生紧急提醒

身体发出这些信号,快就医!

喝酒+熬夜=致命组合!

四大高危诱因:

酗酒:酒精扰乱脑代谢,直接“毒害”神经;

熬夜+疲劳:身体透支,大脑“保护膜”变脆弱;

病毒感染(如感冒、流感):免疫力下降时趁虚而入;

代谢异常:低血糖、电解质紊乱“火上浇油”。

如果你在熬夜、喝酒后出现以下症状,千万警惕:

手抖、走路不稳(像踩棉花);

幻觉幻听(听到不存在的声音);

视力模糊、记忆断片(想不起近期的事);

意识模糊、说话不清。

医生提醒,这种病“来得猛,去得快”,但关键是早发现、早干预。

熬夜加喝酒这俩凑一块简直是“暴击组合”:

肝、肾、胃连夜加班,迟早罢工抗议;

抵抗力崩盘,病毒细菌趁机偷袭,感冒发烧找上门;

短期内可能引发急性不适,长期则增加慢性病风险。

记住喽,身体不是铁打的,不可过度透支,别等身体拉响警报才后悔。记得转发提醒身边人!

策划制作

来源丨新华社

审核丨詹丽璇 广州医科大学附属第二医院神经内科教授 中国卒中学会会员

责编丨甄曦

审校丨徐来、林林

内容来自:科普中国微信公众号

评论
中国科普侠
太师级
过度透支敲警钟!熬夜、高压、不良习惯,当代人的"脑健康保卫战"刻不容缓。科学作息才是真正的长期主义投资。
2025-05-27
木子倪
少师级
身体可不是拿来肆意折腾的本钱,连续熬夜喝酒,身体拉响警报才惊觉问题严重,真的别等生病了才懂得健康的可贵 !
2025-05-27
百川2025
太师级
因连续熬夜和大量饮酒,出现手抖、走路不稳、幻觉幻听、视力模糊、记忆断片、意识模糊等症状。入院后被诊断为“可逆性胼胝体压部综合征”。
2025-05-27