版权归原作者所有,如有侵权,请联系我们

CT报告上磨玻璃、小结节分不清?一篇看懂!

悦康家
原创
广东省呼吸与健康学会官方账号
收藏

近年来,肺结节的检出率呈现出显著且令人瞩目的上升趋势。

环境污染的加剧、吸烟行为的普遍存在以及职业暴露等不利因素,犹如肥沃的土壤,为肺结节的生长提供了温床,使得这一健康隐患愈发凸显。

最近很多朋友拿着CT报告来问:

"磨玻璃结节和肺小结节到底哪个更危险?"

"这些小结节是不是迟早会变癌?"

今天就给大家讲透这两个"肺上小东西"的区别!

一、磨玻璃结节会发展成癌吗?

首先,我们得了解什么事磨玻璃结节?

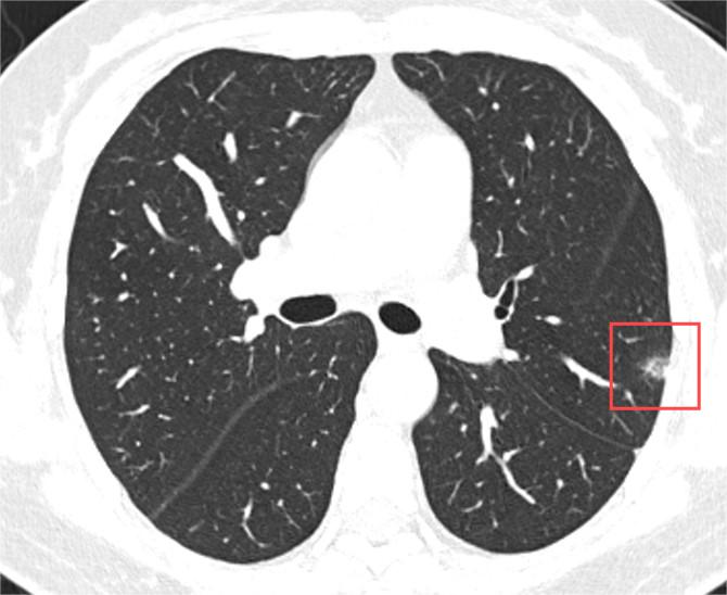
磨玻璃结节是指在肺部CT扫描上呈现为密度轻度增高、云雾状模糊影的结节状病灶。

它之所以得名“磨玻璃”,是因为这种病变区域的CT表现类似于磨砂玻璃,既非完全透明,也非完全不透明,而是介于两者之间的一种模糊状态。

那磨玻璃结节意味着肺癌吗?这可不一定。

磨玻璃结节的性质多样,既可以是良性的,如炎症、出血或局部纤维化,也可能是恶性的早期肺癌表现。研究表明,部分磨玻璃结节,特别是持续存在、体积增大或密度增高的GGN,具有较高的恶性转化风险,然而,这并不意味着所有GGN都会癌变,关键在于定期的监测与管理。

另外,磨玻璃结节的恶性风险与其大小、形态、密度变化及患者年龄、吸烟史等因素有关。

二、肺小结节会发展成癌吗?

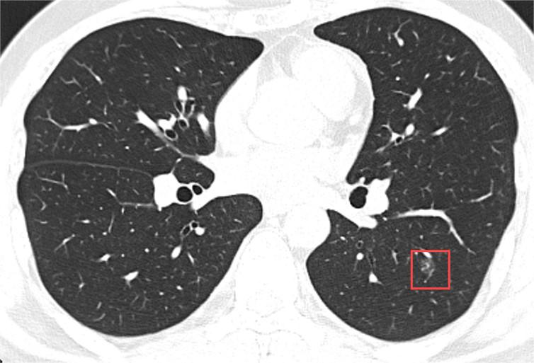
肺小结节通常指的是在肺部CT上直径小于3厘米的圆形或类圆形病灶,它们可以是孤立的,也可以是多发的。与磨玻璃结节不同,肺小结节在CT上的表现更为实质,边界相对清晰。

肺小结节的性质同样多样,包括良性病变(如旧伤、结核球、错构瘤等)和恶性肿瘤。据统计,大多数肺小结节是良性的,只有少数会发展为肺癌。对于肺小结节的管理,同样强调个体化策略,医生会综合考虑结节的大小、形态、患者病史等因素,制定随访计划。一般而言,直径较小的结节建议年度随访。

无论是磨玻璃结节还是普通的肺小结节,其癌变的可能性都不是绝对的。关键在于结节的特性、患者的个体因素以及合理的监测与管理。重要的是,面对肺部结节,我们应保持冷静,避免过度恐慌。

防癌重点:

  • 结节≠肺癌!90%以上都是安全牌
  • 动态观察>盲目恐慌(医生会定制随访方案)
  • 戒烟+防油烟+定期体检=最佳护肺公式
  • 划重点:

  • 磨玻璃结节更像"雾里看花",需要时间观察

  • 肺小结节更像"靶心打点",形态变化最关键

  • 早发现+科学管理=把肺癌扼杀在摇篮里!


  • 广州实验室呼吸健康科普系列作品

    作者、审核人:广州医科大学附属第一医院 陈李泽坤 封度

    (周承志教授团队)

    内容来自:悦康家

    评论
    中气旋
    太傅级
    已经阅读
    2025-09-20
    老于学科普
    少傅级
    已阅
    2025-09-19
    -刘显辉-
    大学士级
    2025-09-19