版权归原作者所有,如有侵权,请联系我们

注意!男孩“蛋疼”别大意,睾丸扭转黄金6小时要抓紧

湖南医聊
分享权威、有趣、实用、及时的健康科普资讯。
收藏

近期,宁乡市中医医院泌尿外科门诊迎来一对神色慌张的夫妻,半架着他们12岁的儿子多多(化名)就诊,孩子身子弯成了虾米,左手死死攥着裤裆,脸色疼得像白纸,每走一步都疼得倒抽冷气,“爸… 左边… 疼得要炸了…”。

夫妻俩急得声音发颤,“医生!快救救孩子!前两天他就说‘蛋蛋’疼,我们找医生上门打了消炎针,不疼了还以为好了。谁知道昨晚半夜他突然疼醒,说比上次还厉害!孩子怕我们担心,硬熬到天亮才敢说… 现在都肿起来了!”

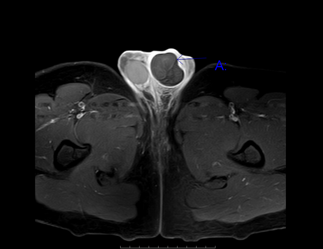
接诊的医师李毅伸手一摸,心立刻沉了下去,多多左侧阴囊已经肿得比拳头还大,皮肤泛着青紫色,按压时孩子疼得直跺脚,而且睾丸的位置明显比右侧高,这不是普通的发炎!

立即完善检查,左侧睾丸完全没有血流信号,精索扭转的影像清清楚楚,这结果所有人都捏了把汗。


“立刻手术!”当手术刀划开阴囊时,所有人都沉默了,连接睾丸的精索足足扭转了 720°,像拧干的毛巾一样绞在一起,原本粉红的睾丸已经变成了深黑色。

医生反复用温盐水热敷,希望恢复睾丸的血运,可那颗睾丸始终没有恢复半点血色,因缺血时间太长,左侧已经彻底坏死,只能遗憾的被迫切除。


泌尿外科专家提醒:这些知识能救孩子的 “命根子”

不少人对睾丸扭转情况不了解,疼痛时一忍再忍,以致延误了最佳治疗时间,导致睾丸坏死切除,泌尿外科主任欧美光提醒,读懂这些 “信号”,避免不幸发生。

1. 先搞懂:什么是睾丸扭转?

睾丸扭转就像给 “命根子” 套上了 “绞索”,连接睾丸和身体的精索里藏着动脉、静脉、神经,一旦精索扭转,动脉会立刻被 “绞断”,睾丸就会像断了水的植物,缺血 1 小时,坏死风险增加 25%,超过 6 小时,90% 的睾丸会彻底坏死。

2. 警惕:青少年是 “高危人群”,深夜发作最常见

睾丸扭转 “偏爱” 12-18 岁的青少年,占所有患者的 65%,这个阶段睾丸发育快,精索比成人长,再加上青少年爱跑跳、剧烈运动,甚至睡觉时翻身,都可能让精索 “打结”,而且夜间迷走神经兴奋,阴囊肌肉放松,扭转更容易在深夜发作,就像多多一样,两次疼痛都发生在夜间。

3. 别耽误!三点分清 “扭转” 和 “发炎”

很多家长把睾丸扭转当成 “睾丸炎”“附睾炎”,打消炎针延误救治,其实两者有明显区别。


4. 关键时刻:孩子喊疼,立刻这么做

一旦孩子说 “阴囊疼”,尤其是突然发作的剧烈疼痛,记住 3 个 “千万别” 和 2 个 “必须做”:

▲千万别等

别想着 “熬到天亮”“观察观察”,黄金救治时间只有 4-6 小时,晚 1 分钟,希望就少一分。

▲千万别揉 / 热敷

揉会让扭转更严重,热敷会加速缺血组织坏死。

▲千万别乱用药

消炎针对扭转没用,反而会掩盖症状。

➤必须立刻送医:

选最近的有“泌尿外科” 的医院。

➤必须帮孩子减负:

路上让孩子平躺,用毛巾垫高阴囊,减少精索牵拉,为救治争取时间。

每个男孩的“蛋蛋”都没有“备用件”,一旦坏死就再也回不来了,家长一定要把“阴囊剧痛 = 紧急情况”刻在心里,别让一次 “侥幸”成为孩子一辈子的遗憾,守护男孩的生殖健康,从读懂 “疼痛信号” 开始。

湖南医聊特约作者:宁乡市中医医院 泌尿外科 高双双 李毅

关注@湖南医聊,获取更多健康科普资讯!

(编辑YT)

内容来自:宁乡市中医医院 泌尿外科 高双双 李毅

评论
科普5b55304ca42eb
少傅级
已阅读
2025-10-11
中气旋
太傅级
已经阅读
2025-10-13
科普65bf7cf37d4ed
庶吉士级
已阅读
2025-10-12