版权归原作者所有,如有侵权,请联系我们

超重女子“换膝”重生记!世界关节炎日带你破解膝关节疼痛难题

湖南医聊
分享权威、有趣、实用、及时的健康科普资讯。
收藏

深受膝关节疼痛、活动限制20年,63岁的张阿姨(化名)3年前无可奈何接受右膝关节置换,如今再次选择左膝关节置换,期待“新关节”带给她新生活。

10月12日世界关节炎日来临,湖南省第二人民医院(省脑科医院)骨关节运动医学科主任李宝军主任医师提醒,重视关节不适信号,尽早就医干预,减缓疾病进展。天气渐冷,更要做好关节的防寒保暖,加强日常保护与锻炼。


(▲手术中)

张阿姨家住长沙,体重170斤,最高时有近200斤。还经常干农活和家务,一蹲一站就是几个小时不休息。然而,近20年来,张阿姨膝盖疼痛逐渐加重,腿也变成了“O”形腿,走起路来是“鸭子步”,连身高也“缩”了五六厘米。

令她最烦恼的是,上厕所蹲不下、无法上下楼梯,稍微走一段路腿就疼痛厉害,脚伸不直连日常穿裤子都不方便,严重影响日常生活。曾经吃过药、打过针、敷过膏药、做过理疗,治疗效果都不理想。


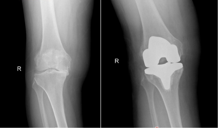
(▲右膝术前术后对比)

2022年10月,张阿姨在湖南省第二人民医院(省脑科医院)骨关节运动医学科诊断为双膝重度骨性关节炎,并接受右膝关节置换手术。出院后主治医生何改生积极微信与患者保持联系,指导康复训练,定期复查,右膝关节功能恢复良好,也不痛了。


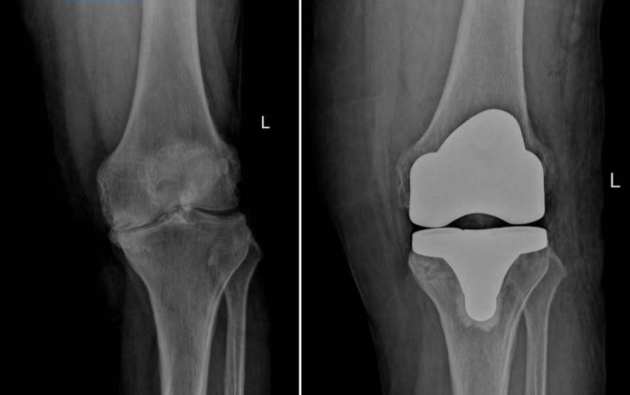
(▲左膝术前术后对比)

但是左膝关节问题同样明显,跛行严重,为进一步提高生活质量,解决疼痛问题,2025年9月,张阿姨再次来到湖南省第二人民医院(省脑科医院)骨关节运动医学科,于近日顺利接受左膝关节置换。术后第一天,即可在助行器辅助下下地行走。目前,张阿姨正在进一步康复中。


(▲查房中)

骨关节科主任李宝军主任医师介绍,膝骨关节炎,简单来说,就像我们膝盖里的“轴承”老化磨损了。我们的膝关节由股骨、胫骨、髌骨以及关节软骨、韧带、半月板等结构组成,关节软骨就像 “轴承” 上的保护层,能减少骨头之间的摩擦,让关节灵活活动。

随着年龄增长,关节软骨会慢慢退化。再加上一些外在因素,比如张阿姨长期干重活、体重超标,膝盖长时间承受过大压力,关节软骨的磨损速度会更快。当软骨磨损到一定程度,骨头就会直接“硬碰硬”,进而引发关节周围的炎症,这就是膝骨关节炎。

如若患上膝骨关节炎,膝盖会出现疼痛、肿胀、僵硬等症状。就像张阿姨一开始只是偶尔膝盖疼,后来疼痛越来越频繁、越来越严重,甚至影响正常行走。而且,由于关节软骨磨损不均匀,关节受力失衡,还可能导致腿型发生改变,比如变成“O”形腿,这也是张阿姨出现 “鸭子步” 的重要原因。

李宝军主任医师指出,膝骨关节炎治疗,应遵循阶梯化治疗理念。医生会根据疾病阶段、患者个体情况制定合适的治疗方案。通常来说,治疗手段包括:

第一,基础治疗。包括合理运动、健康生活方式、辅助器械的使用、物理治疗等)。

第二,药物治疗。包括局部药物治疗、全身镇痛药物治疗、关节腔内注射药物、局部激素注射等。

第三,手术治疗。包括微创软骨修复、截骨矫形、单髁和全膝关节置换等手术治疗。膝关节置换术简单来说,就是把受损的膝关节表面的软骨和部分骨头去掉,换上人工制造的关节假体,就像给老化的 “轴承”换一个新的。这种手术能有效缓解疼痛,恢复关节功能,让患者重新正常行走,提高生活质量。

李宝军主任医师提醒,膝骨关节炎是一种逐渐进展的慢病,退行性病变的过程无法逆转。因此,如果发现自己出现膝关节疼痛、僵硬、活动受限、肿胀、弹响等症状,一定要及时去医院就诊,让医生明确诊断。早发现、早干预,才能更好地控制病情。

膝骨关节炎虽然常见,但并不是不可预防。建议在生活中多注意以下五点,有效降低患病风险。

第一,控制体重:60%的膝髋骨关节炎和体重过重有关,长期超重会加大膝关节承受的负荷,一旦超重,要积极减肥,控制体重。

第二,改变习惯:尽量避免长时间蹲跪、爬楼梯、爬山、提重物等会加重膝盖负担的动作。如果需要长时间站立或行走,可以适当休息,活动一下膝盖,缓解膝盖压力。干家务、做农活时,也要注意劳逸结合,不要一次性做太多重活。

第三,防寒保暖:膝关节周围循环较差,易受风寒侵袭。气温较低时,注意佩戴护膝,防受寒。

第四,科学锻炼:适当运动能保护关节,但要选择对膝盖友好的运动,比如游泳、骑自行车、散步等。这些运动既能锻炼身体,又不会给膝盖带来太大压力。避免剧烈运动,比如快跑、跳绳、打篮球等,这些运动容易损伤膝关节。锻炼前做好准备活动,舒展膝关节;锻炼时穿合适的运动鞋。

第五,健康饮食:在日常饮食中,要注意补充钙、维生素 D 等营养物质,这些物质对骨骼健康很重要。可以多吃一些牛奶、鸡蛋、豆制品、鱼虾、新鲜蔬菜水果等,保证营养均衡。

湖南医聊特约作者:湖南省第二人民医院(省脑科医院)骨关节运动医学科 何改生

关注@湖南医聊,获取更多健康科普资讯!

(编辑YT)

内容来自:湖南省第二人民医院(省脑科医院)

评论
冰冷的水
太师级
多吃一些牛奶、鸡蛋、豆制品、鱼虾、新鲜蔬菜水果等,保证营养均衡。
2025-10-12
李海剑
太师级
在日常饮食中,要注意补充钙、维生素 D 等营养物质,这些物质对骨骼健康很重要。可以多吃一些牛奶、鸡蛋、豆制品、鱼虾、新鲜蔬菜水果等,保证营养均衡。
2025-10-12
明雪~张
贡士级
2025-10-12